Beschreibung
Die Luxatio patellae (Patellardislokation) ist eine der häufigsten Erkrankungen beim Hund. Wir unterscheiden die angeborene, kongenitale von der traumatisch bedingten Patellaluxation. Sie kann habituell oder stationär (permanent) auftreten und in den meisten Fällen nach medial, seltener nach lateral disloziert sein. Toy- und Miniatur-Hunderassen sind etwa 10 mal häufiger befallen als große Rassen. Weibliche Tiere sollen mehr als männliche Tiere befallen sein
Symptome und Diagnose
Im Vorbericht wird von Hunden mit habitueller, intermittierender Patellaluxation berichtet, daß die betroffene Extremität plötzlich für mehrere Schritte nicht belastet, dann gestreckt nach hinten gehalten wird, um danach wieder normal aufgesetzt zu werden. Bei permanenten Luxationen sind oft uni- und bilaterale Lahmheiten vorhanden. Bei großen Hunderassen mit schweren Wachstums- und Entwicklungsstörungen und deutlichem Genu valgum sind oft Fütterungs und Haltungsfehler zu eruieren.
Für eine Diagnose, die von den Zuchtverbänden und vom VDH anerkannt und in die Zuchtstrategien übernommen werden kann, ist die Untersuchung bei einem anerkannten Auswerter notwendig, für die dann ein Befund über den Schweregrad ausgestellt wird. Fachlich qualifizierte Tierärzte finden Sie beim Bundesverband praktizierender Tierärzte e.V.
Für die Untersuchung ist keine Narkose notwendig, dadurch sind auch die Kosten für die Befundung nicht sehr hoch.
Eine einfache Diagnose (ohne anerkannten Befund) kann sicher auch ein anderer versierter Tierarzt stellen.
Auch in Fällen, wo ein Hund operiert werden soll, ist es sinnvoll, zuvor den Schweregrad feststellen zu laasen und an den Zuchtverband weiterzuleiten.
Behandlung
Bei Grad I, manchmal auch bei Grad II, die oft als Zufallsbefunde erkannt werden, kann in vielen Fällen auf die Therapie verzichtet werden, weil kaum Lahmheiten und selten arthrotische Veränderungen oder Schmerzen auftreten.
In therapiewürdigen Fällen sind aussschließlich chirurgische Verfahren indiziert. Die verschiedenen Verfahren aufzuzeigen überlassse ich lieber der Fachliteratur und den behandelnden Tierärzten,
Fallbeispiel 1
Appenzeller Sennenhund

Ich erwarb eine Appenzeller Sennenhündin, gew. am 01.08.2002, die von der Abstammung gut zu meinem Rüden passte. Ich liess die Hündin untersuchen, sie wurde HD-B, ED-frei und OCD-frei ausgewertet. Die Ausstellungsergebnisse waren ebenfalls sehr gut. 2004 sollte sie angekört werden.
Sie spielte gern wilde Spiele mit ihrem Freund Klemens, Nachlauf, Tauziehen und rannte in Wald und Feld über Stock und Stein. Im Sommer 2003 waren wir in den Bergen. Eines Tages kam sie bei einem Spaziergang im Wald mit vollem Tempo den Hang herunter gerast und sprang mit einem Satz ca 2 m von der Böschung auf den festen Fahrweg. Danach hoppelte sie kurz auf drei Beinen, lief dann aber wieder normal. Da sie in der Folgezeit noch ein paarmal so seltsam lief, liess ich sie in der VetMed Wien untersuchen, ob sie von dem unglücklichen Sprung Schäden davongetragen hätte. Sie wurde geröntgt, ohne konkretes Ergebnis. Man äusserte nur die Vermutung auf part. KBR.
Danach wurde es besser, nur selten passierte es , dass sie 3 bis 5 Schritte auf drei Beinen hoppelte und dann wieder normal lief. Noch im November und Dezember wurde sie ohne Auffälligkeiten ausgestellt und bewertet.
Im Mai 2004 hatten wir wieder auf Ausstellungen gemeldet. Kurz vorher begann sie wieder öfter zu humpeln, auch auf der Ausstellung, wo sie disqualifiziert wurde.
Danach stellte mein Haustierarzt (normaler Landtierarzt) die Diagnose: Patella-Luxation
Ich suchte nach einem Auswerter und liess sie Befunden, Ergebnis PL 2 / 3
Das bedeutet, auf der Seite wo sie nach dem unglücklichen Sprung öfter die Beschwerden hatte PL3, aber auch die andere Seite nicht ohne Befund. Die Beschwerden waren immer nur kurzzeitig, Schmerzen schien sie dabei keine zu haben. Wilde Spiele mit ihren Hundefreunden machten ihr nach wie vor grossen Spass.
Der Einsatz als Zuchthund kam danach nicht mehr in Frage. Ich konnte mich auch nicht zu einer OP entschliessen, da ich darüber nicht nur Gutes gehört und gelesen hatte. Wir fanden eine Familie, die sie gerne übernommen hat nur als lieben Familienhund. Dort ist sie 12 Jahre alt geworden, hat mit ihrer Familie viele Berwanderungen und Reisen ins Ausland unternommen, durfte ohne wesentliche Beschwerden alt werden, obwohl sie nie opreriert wurde und ab und zu ein wenig gehoppelt ist.
Der Appenzeller Sennenhund war ein robuster Arbeitshund, der in den Bergen seinen Dienst beim Vieh tat. Die Sennen hatten sicher nicht viel Zeit, sich mit den Welpen abzugeben, und diese konnten über Stock und Stein gehen. An sich müssten die Gelenke es aushalten, wenn der Hund sich so bewegt wie es ihm Spass macht. Einen lahmen Hünd hätte damals keiner aufgezogen. Ich habe die Hündin nie zu besonderen Leistungen angetrieben, sie ist bei dem Spaziergang nach eigenem Belieben um uns herum gelaufen, bergauf und bergab. Sicher ist der unglückliche Sprung mit ursächlich für das nachfolgende Herauspringen der Patella, aber da auch die andere Seite eine nicht geringe Fehlstellung aufweist, kann man eine erbliche Komponente nicht von der Hand weisen. Der Vater (aus der Schweiz) ist PL frei, die Mutter nicht untersucht, da beim SSV nur HD Pflichtuntersuchung ist.
Heute würde ich bei diesem Bewegungsbild sofort auf PL untersuchen lassen. Insofern bin ich von der VetMed sehr enttäuscht, dass dort nicht gleich die richtige Diagnose gestellt wurde. Da hätte man sich gleich alle Planungen für die Zucht aus dem Kopf schlagen können.
Fallbeispiel 2
Appenzeller Sennenhund

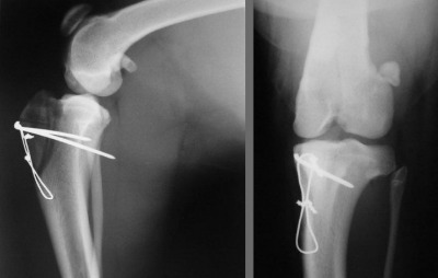
Eine Züchterin aus der Schweiz erwarb einen Rüdenwelpen, gew. 03.07.2006, aus Deutschland, um ihn möglicherweise später in der Zucht einzusetzen. Vater war mein Rüde, PL-frei, die Mutter nicht auf PL untersucht. Der Hund war bereits untersucht und HD-A und ED-frei eingestuft, als es zu einem "Unfall" kam. Was genau passiert ist und wobei der Rüde sich verletzt hat, ist mir nicht bekannt. Beim anschliessenden Tierarztbesuch wurde PL diagnostiziert und der Hund direkt am nächsten Tag operiert.
Die schweizer Züchterin hat einige Bilder von der Operation zur Verfügung gestellt.

Hautschnitt

freilegen


Kerbe herausschneiden, Scheibe entfernen

Kerbe wird in den Schnitt eingesetzt, in der so entstandenen Vertiefung wird die Kniescheibe plaziert.

Scheibe ist plaziert, fixiert und verdrahtet, dieses Implantat wird nun in dem Knie bleiben. Alles wird nun sauber vernäht.

Kontrollbilder
Der Hund wird nun 6 Wochen lang Leinenzwang haben (d.h. keine Spiele mit den anderen, kein herumtoben, kein freilaufen und nur kurze Spaziergänge) und Schmerzen - danach kommt die Physiotherapie und der langsame Muskelaufbau.
September 2007
Da der Rüde nun nicht mehr für die Zucht in Frage kam, gab es Vorwürfe gegen die Züchterin. Der Hund wurde schnell abgegeben und es ist nicht bekannt, was aus ihm geworden ist oder ob die OP erfolgreich war.
Was mich an dieser Geschichte stört, ist der Schnellschuss - Verletzung - OP - Hund weg! Was ist wirklich passiert, waren es Unfallfolgen oder doch eher ein vorhandener Defekt? Ein Befund über den Schweregrad wurde nicht erstellt vor der OP.
Von den Vorfahren ist keine PL bekannt. Insofern kann man der Züchterin des Rüden keine Vorwürfe machen. Ein Wurfbruder mit HD-B, ED-frei, PL-frei wurde in der Zucht eingesetzt, 60 % untersuchte Nachkommen alle ohne krankhaften Befund.
weitere Beispiele
Deutsche Wachtelhunde
Von den Wachtelhunden war mir zu dem Zeitpunkt, als meine Appenzeller Hündin PL hatte, nur ein lang zurückliegender Fall bekannt. Ein Rüde war wegen PL operiert worden, weshalb er dann als Deckrüde nicht mehr in Frage kam.

2015
In jüngster Zeit sind auch bei den Deutschen Wachtelhunden ein paar Fälle mit Patella Luxation bekannt geworden, die dem ZBA gemeldet wurden. In Dogbase ist bisher nichts vermerkt. Es kann aber auch damit zusammenhängen, dass evtl. kein Befund eines anerkannten Auswerters vorliegt.

